[PR]上記の広告は3ヶ月以上新規記事投稿のないブログに表示されています。新しい記事を書く事で広告が消えます。
岩田デンタルクリニックのブログへようこそ

衛生士の野澤です
世間では明日からお盆休みという方も多いのではないでしょうか
岩田デンタルクリニックでは
8月15日は9:00~12:00までの午前診療
8月16日~18日は休診
8月19日より平常通り診療致します
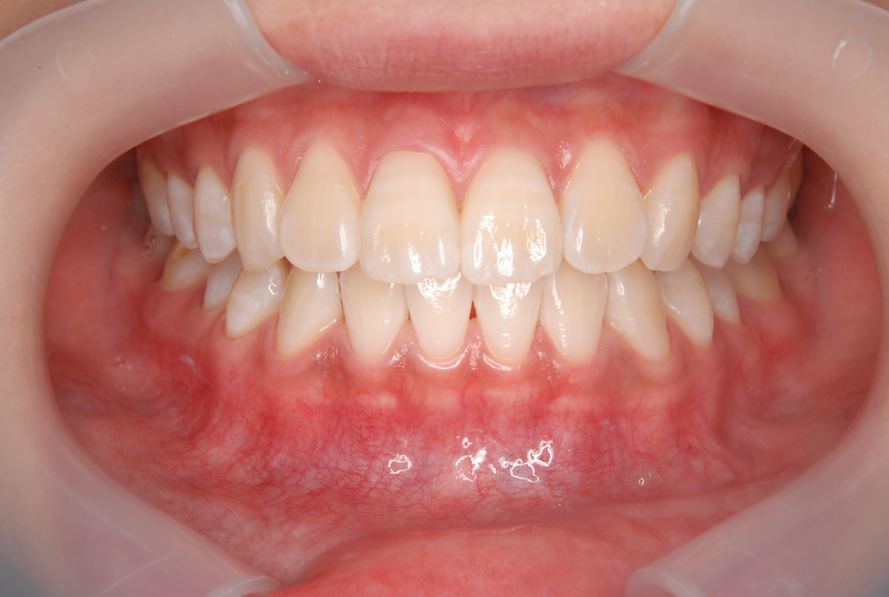
先日、うちのスタッフがホワイトニングをしましたので写真を載せます
(写真部分をクリックして下さい。)
←こちらがホワイトニング前のお口の写真です。
歯の色をとても気にしてホワイトニングの相談を受けました。
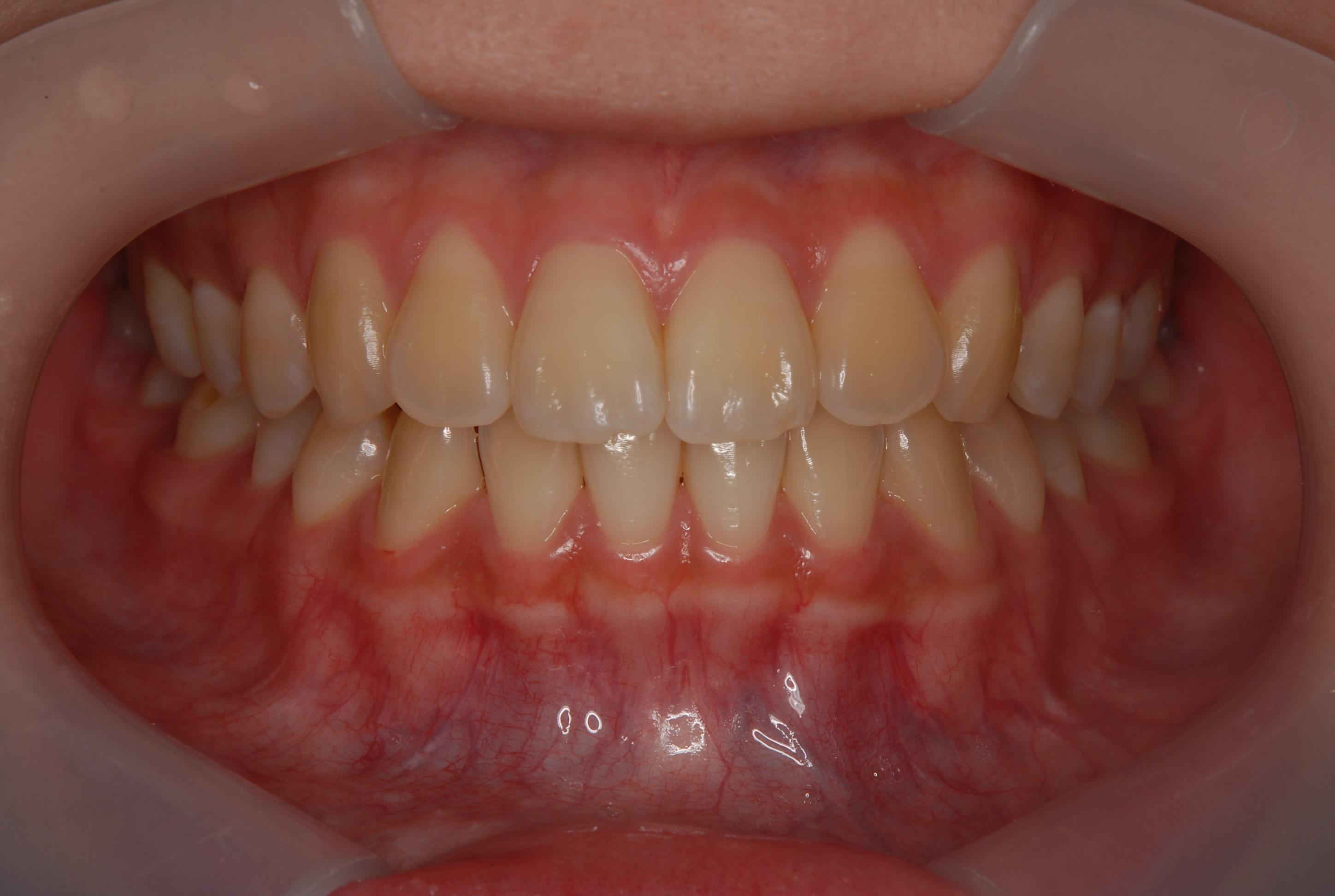
←彼女の希望でオフィスホワイトニングを実施しました。オフィスホワイトニング終了後の写真です。
オフィスホワイトニングとは、歯科医院でホワイトニング専用のジェルと専用の光を当てて約1時間で歯を白くすることです。
岩田デンタルクリニックではホワイトニングコーディネーターの資格を取得した歯科衛生士がホワイトニングを施します。
←デュアルホワイトニング終了後の写真です。
デュアルホワイトニングとは、オフィスホワイトニング終了後、ホームホワイトニングを患者様にしていただいてさらに白い歯にすることです。
ホームホワイトニングとは、患者様のライフスタイルに合わせて、ホームホワイトニングジェルを専用のマウストレーに注入し1日2~3時間歯に装着していただき歯を白くすることです。
いかがでしょうか?
本人はとても満足していて笑顔満点です


